La importancia de la amistad entre los macrófagos y los pigmentos de los tatuajes, en su eliminación con láser
La importancia de la amistad entre los macrófagos y los pigmentos de los tatuajes, en su eliminación con láser
Nunca ha sido sencillo explicar (científicamente) cómo funcionan los tatuajes. Pensémoslo un segundo: los tatuajes son 'para siempre'; sin embargo, las células de la dermis no: de hecho, estas células cambian bastantes veces a lo largo de la vida. Entonces ¿Por qué no desaparece la tinta con ellas incluso en tatuajes pequeños?, ¿Qué es exactamente lo que está pasando ahí?.
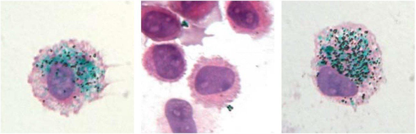
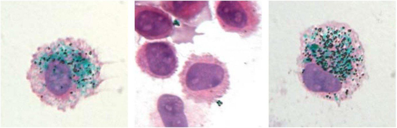
En los últimos años, los investigadores parecen convencidos de que el misterio de los tatuajes se escondía en los macrófagos, un elemento central del sistema inmunitario que se especializa en reconocer, engullir y destruir células dañadas, muertas o distintos tipos de infecciones. Son, por decirlo de alguna manera, los matones del sistema inmune, los que hacen «el trabajo sucio».
Durante años, se pensó que los tatuajes funcionaban tiñendo las células de los fibroblastos en la capa dérmica de la piel. Más recientemente, los investigadores han sugerido que los macrófagos se sienten atraídos por la herida producida por la aguja y devoran el pigmento como si fuera un patógeno agresor.
Sin embargo, ninguna de esas explicaciones resolvía el problema. Ahora un grupo de investigadores franceses han descubierto que esas células pueden pasar el pigmento a las nuevas células cuando mueren.
Para conseguir desentrañar el problema, dos investigadores Sandrine Henri y Bernard Malissen del Centro de Inmunología de Marsella-Luminy desarrollaron ratones genéticamente modificados gracias a los cuales pudieron eliminar a los macrófagos de la dermis y algunos otros tejidos. Tras eliminarlos, las células acaban siendo reemplazadas por nuevos macrófagos.
Lo curioso es que, aunque confirmaron que los macrófagos dérmicos eran el único tipo de célula que adquiría el pigmento cuando tatuaban las colas de los ratones. Sin embargo, cuando eliminaban a estos macrófagos, el tatuaje permanecía. La única conclusión es que los macrófagos liberan el pigmento al morir y semanas después es absorbido por los nuevos macrófagos que ocupan su lugar.
Este ciclo de captura, liberación y recaptura del pigmento se produce de manera continua en la piel tatuada. «Creemos que, cuando los macrófagos cargados de pigmento del tatuaje mueren durante el curso de la vida adulta, los macrófagos vecinos recuperan los pigmentos liberados y aseguran de manera dinámica la apariencia estable y la persistencia a largo plazo de los tatuajes», explica Henri.
Es cierto que los tatuajes se pueden eliminar mediante pulsos de láser que hacen que las células de la piel mueran y liberen su pigmento. Ahí, según sabemos ahora, se inicia una dialéctica entre los macrófagos vecinos que luchan por mantener el pigmento y el sistema linfático del cuerpo que trata por alejarlo de la piel.
«La eliminación del tatuaje puede mejorarse si combinamos pulsos láser con la eliminación transitoria de los macrófagos presentes en el área del tatuaje», sostienen los investigadores. «Como resultado, el pigmento liberado mediante pulsos láser no sería recapturado inmediatamente, algo que aumenta la probabilidad de que se drenen a través de los vasos linfáticos».
#NDVaparatologia
#NDVformacion
#NDVProteccionSolar2022
#NDVoperaciónbikini2022
#ultimagrande
#hairremoval #beauty
https://www.casadellibro.com/libro-manual-de-puncion-y-aplicacion-de-toxina-butolinica/9788418890048/12446517
Curso Eliminación Tatoo con Laser de Nd:YAG Q-Switched
Curso Online Láser Co2 Fraccionado y sus Aplicaciones
E-Book: Manual de Punción y Aplicación Facial de la Toxina Botulínica A (TBA); E-BOOK
Curso de Ultrasonido Focusado HIFU (High Intensity Focused Ultrasound).
Course Generator Devices - Plasma Applicators (Ionized Gas) for the Skin
Curso de HIFU 7D Ultrasonido Macro y Micro Enfocado para la belleza
Curso de Cloaking Tatúa y camufla
Curso Online de Micro vibración Compresiva
Curso HIFEM (High intensity focused electromagnetic therapy)
Curso de Presoterapia – Termoterapia – Cromoterapia
https://formaciononlinenutridermovital.blogspot.com/2022/09/la-importancia-de-la-amistad-entre-los.html


















