Tratamiento de venas de 0,3-3 mm. Conclusión Estudio comparativo de láseres Nd:YAG de 1064 nm, diodo de 810 nm y alejandrita de 755 nm
Tratamiento de venas de 0,3-3 mm. Conclusión Estudio comparativo de láseres Nd:YAG de 1064 nm, diodo de 810 nm y alejandrita de 755 nm
Los tratamientos con láser y dispositivos de luz pulsada intensa de las venas de las piernas generalmente han arrojado resultados decepcionantes. El uso de longitudes de onda más largas, anchos de pulso más largos y mejores dispositivos de enfriamiento han despertado recientemente un renovado interés en estos métodos.
._. El láser Nd:YAG de 1064 nm equipado con criógeno fue notablemente eficaz y seguro para el tratamiento de las venas de las piernas de 0,3-3 mm. El uso de anestesia tópica puede ser necesario para algunos pacientes.
La longitud de onda de 1064 nm es muy segura para la piel tipo V.
._. El láser de diodo de pulso súper largo de 810 nm dio resultados impredecibles. Refinamientos adicionales de la fluencia y el ancho de pulso podrían mejorar su rendimiento.
._. La longitud de onda de 810 nm a anchos de pulso súper largos de 400-1000 mseg es muy segura para la piel tipo IV y marginal para la piel tipo V.
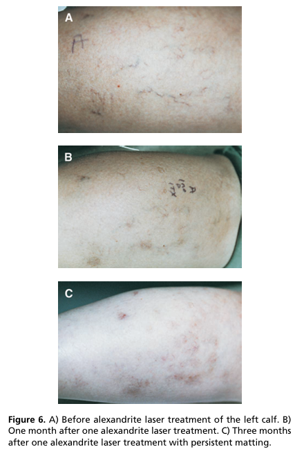
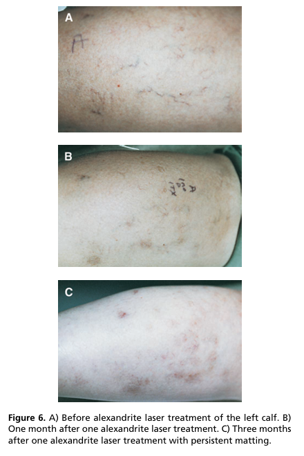
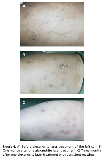
._. El láser de alejandrita de 3 mseg y 755 nm con fluencias de 60-70 J/cm2 y un punto de 8 mm puede ser eficaz, pero la respuesta inflamatoria, la púrpura y el enmarañamiento limitan su utilidad.
La longitud de onda de 755 nm está limitada a la piel no bronceada tipo I-III.
https://formaciononlinenutridermovital.blogspot.com/2024/10/tratamiento-de-venas-de-03-3-mm.html
#beauty #skinshineiberica #skincare rejuvenecimiento #laser #tratamientosnaturales #belleza #nutricosmetica #technology #nutridermovital
https://www.healthandbeauty1.com/ES/Valencia/1586961111608830/Skin-Shine--Iberica?e=315977200
https://www.instagram.com/reel/C8t7tIQIpMX/?igsh=azQ1ZXEzcTg4Y25u
https://youtube.com/shorts/nDWv03xBzYE?feature=share
https://aparatologia-ndv.my.canva.site/ndv-hifu-mpt-360
https://youtu.be/YdPPEjipQTc?si=yabu1L6hle4KHwyE
https://aparatologia-ndv.my.canva.site/ndv-hifu-mpt-360
https://www.youtube.com/watch?v=bE50HaKVCao
Aparatología Estética y Médico – Estética. – Susana Apolo y Juan Copovi (azureditorial.com)
https://www.azureditorial.com/autores
CUIDADOS DE LA PIEL@operacionbikini2024.
#operaciónbikini2024
https://www.formaciononlinenutridermo.com/curso-c/formacion-cursos
https://www.cursosaparatoestetic.es/
https://www.cursosaparatoestetic.es/
https://www.infix-inc-global.com/ultima-shr-ssr


















